Composite Bonding Cases

Kingston upon Thames

As Featured On

Hollywood  Composite Bonding

Natural  Composite Bonding

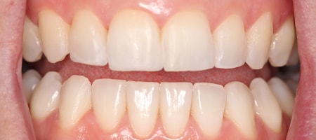
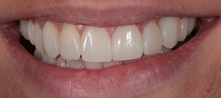
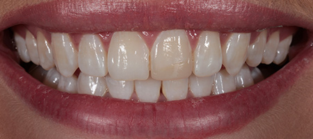
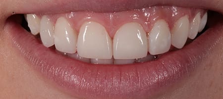
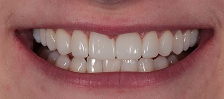
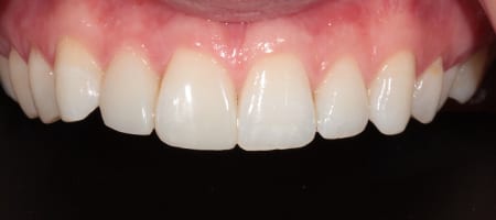
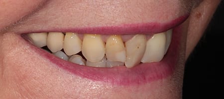
Before and After Bonding Treatment Kingston
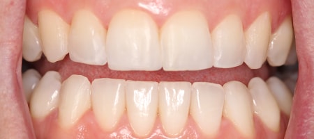
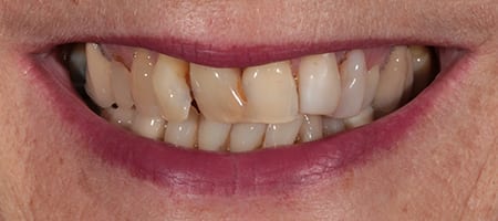
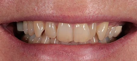
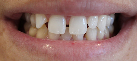
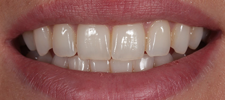
Before and After Bonding Treatment Kingston
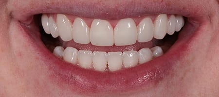
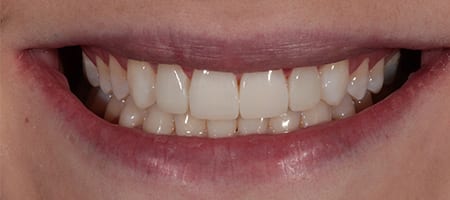
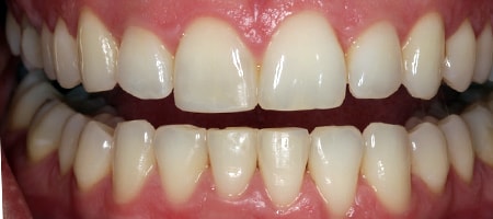
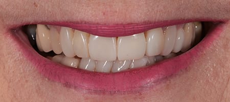
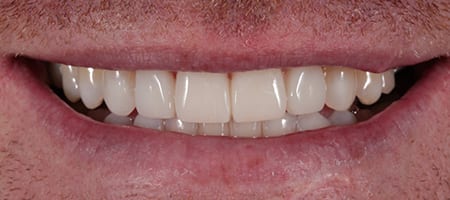
Before and After Bonding Treatment Kingston
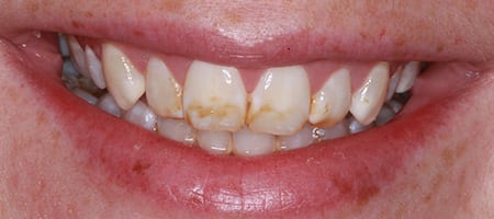
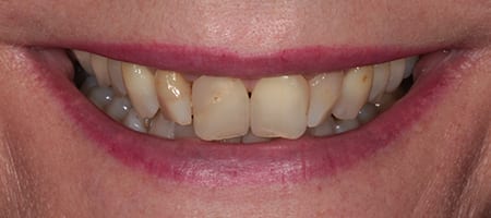
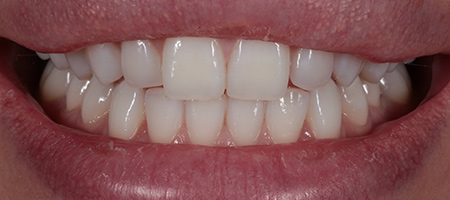
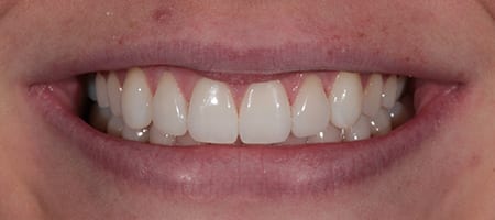
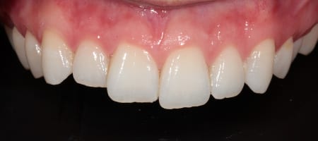
Before and After Bonding Treatment Kingston
Before and After Bonding Treatment Kingston
Before and After Bonding Treatment Kingston
Before and After Bonding Treatment Kingston
Before and After Bonding Treatment Kingston
Before and After Bonding Treatment Kingston
Before and After Bonding Treatment Kingston
Before and After Bonding Treatment Kingston
Before and After Bonding Treatment Kingston
Before and After Bonding Treatment Kingston
Before and After Bonding Treatment Kingston
Before and After Bonding Treatment Kingston
Before and After Bonding Treatment Kingston
Before and After Bonding Treatment Kingston
Before and After Bonding Treatment Kingston
Before and After Bonding Treatment Kingston
Before and After Bonding Treatment Kingston
Before and After Bonding Treatment Kingston
Before and After Bonding Treatment Kingston
Before and After Bonding Treatment Kingston
Before and After Bonding Treatment Kingston
Before and After Bonding Treatment Kingston
Before and After Bonding Treatment Kingston
Before and After Bonding Treatment Kingston
Before and After Bonding Treatment Kingston
Before and After Bonding Treatment Kingston
Before and After Bonding Treatment Kingston

Cosmetic Bonding

Before and After Bonding Treatment Kingston
Before and After Bonding Treatment Kingston
Before and After Bonding Treatment Kingston
Before and After Bonding Treatment Kingston
Before and After Bonding Treatment Kingston
Before and After Bonding Treatment Kingston
Before and After Bonding Treatment Kingston
Before and After Bonding Treatment Kingston
Before and After Bonding Treatment Kingston
Before and After Bonding Treatment Kingston
Before and After Bonding Treatment Kingston
Before and After Bonding Treatment Kingston
Before and After Bonding Treatment Kingston
Before and After Bonding Treatment Kingston
Before and After Bonding Treatment Kingston
Before and After Bonding Treatment Kingston
Before and After Bonding Treatment Kingston
Before and After Bonding Treatment Kingston
Before and After Bonding Treatment Kingston
Before and After Bonding Treatment Kingston
Before and After Bonding Treatment Kingston
Before and After Bonding Treatment Kingston
Before and After Bonding Treatment Kingston
Before and After Bonding Treatment Kingston
Before and After Bonding Treatment Kingston
Before and After Bonding Treatment Kingston
Before and After Bonding Treatment Kingston
Before and After Bonding Treatment Kingston
Before and After Bonding Treatment Kingston
Before and After Bonding Treatment Kingston
Before and After Bonding Treatment Kingston
Before and After Bonding Treatment Kingston
Before and After Bonding Treatment Kingston
Before and After Bonding Treatment Kingston
Before and After Bonding Treatment Kingston
Before and After Bonding Treatment Kingston
Before and After Bonding Treatment Kingston
Before and After Bonding Treatment Kingston
Before and After Bonding Treatment Kingston
Before and After Bonding Treatment Kingston
Before and After Bonding Treatment Kingston
Before and After Bonding Treatment Kingston
Before and After Bonding Treatment Kingston
Before and After Bonding Treatment Kingston
Before and After Bonding Treatment Kingston
Before and After Bonding Treatment Kingston
Before and After Bonding Treatment Kingston
Before and After Bonding Treatment Kingston
Before and After Bonding Treatment Kingston
Before and After Bonding Treatment Kingston
Before and After Bonding Treatment Kingston
Before and After Bonding Treatment Kingston
Before and After Bonding Treatment Kingston
Before and After Bonding Treatment Kingston
Before and After Bonding Treatment Kingston
Before and After Bonding Treatment Kingston
Before and After Bonding Treatment Kingston
Before and After Bonding Treatment Kingston
Before and After Bonding Treatment Kingston
Before and After Bonding Treatment Kingston
Before and After Bonding Treatment Kingston
Before and After Bonding Treatment Kingston
Before and After Bonding Treatment Kingston
Before and After Bonding Treatment Kingston
Before and After Bonding Treatment Kingston
Before and After Bonding Treatment Kingston
Before and After Bonding Treatment Kingston
Before and After Bonding Treatment Kingston
Before and After Bonding Treatment Kingston
Before and After Bonding Treatment Kingston
Before and After Bonding Treatment Kingston
Before and After Bonding Treatment Kingston